
長町南駅徒歩6分、専用駐車場7台完備。
幼児・小児矯正、大人の矯正、保険の矯正治療を行っています。
幼児・小児での在宅時のみ使用する装置による治療が特徴の一つです。

・1月の休日矯正相談日は、18(日)9時~12時です。
・1/19(月)休診です。
・無料の3歳児限定「歯ならび・かみ合わせ検診」を開始しました。ご希望の方はご予約下さい。
| 2026年1月 | ||||||
|---|---|---|---|---|---|---|
| 日 | 月 | 火 | 水 | 木 | 金 | 土 |
| 1 | 2 | 3 | ||||
| 4 | 5 | 6 | 7 | 8 | 9 | 10 |
| 11 | 12 | 13 | 14 | 15 | 16 | 17 |
| 18 | 19 | 20 | 21 | 22 | 23 | 24 |
| 25 | 26 | 27 | 28 | 29 | 30 | 31 |
| 赤休診日 青休日矯正相談日 | ||||||
| 2026年2月 | ||||||
|---|---|---|---|---|---|---|
| 日 | 月 | 火 | 水 | 木 | 金 | 土 |
| 1 | 2 | 3 | 4 | 5 | 6 | 7 |
| 8 | 9 | 10 | 11 | 12 | 13 | 14 |
| 15 | 16 | 17 | 24 | 19 | 20 | 21 |
| 22 | 23 | 24 | 25 | 26 | 27 | 28 |
| 赤休診日 青休日矯正相談日 | ||||||
対象:4歳程度
乳歯のみの時期に永久歯が生える前に環境を整えておく治療方法です。
当院で学童期に使用する機能的矯正装置を幼児用にデザインした装置を使用します。
在宅時のみ使用するため、幼稚園や保育園にはしていきません。
既製品ではないため適合も良くお子さんが使用しやすい装置です。
治療期間は1~2年程度、月に1回の診察です。
遅くとも永久歯が生え始めた段階で終了です。
欠点は、装置の使用状況が治療効果および期間に反映されること、また永久歯萌出以降に矯正治療が必要となる可能性があることです。
当院では、この治療を行うことにより、永久歯が生える前に環境を整えておきます。
永久歯萌出開始後に治療の必要性がある場合には、第一期治療として本格的な矯正治療を検討します。
クリック(▶)すると治療の流れが開きます。

対象:主に小学生低学年
(以降でも適応の場合はあります)
生えてきた永久歯、今後生えてくる永久歯の歯ならび・かみ合わせが良くなるように行う治療方法です。
在宅時のみ使用するため、学校にはしていきません。
既製品ではないため適合も良くお子さんが使用しやすい装置です。
治療期間は2~3年程度、月に1回の診察です。
治療の難易度やご希望によっても異なります。
欠点は、装置の使用状況が治療効果および期間に反映されること、また治しきれない部分や成長により変化する部分があることです。
当院では、この治療を行うことにより、お子さんのうちに可能な限り歯ならび、かみ合わせを治してきます。
上記治療にて、治しきれない、または成長により変化していく点は、成長が落ち着いてから、第二期治療を検討します。
第一期治療を行っていることにより、第二期治療が必要となっても、抜歯の可能性の低下、治療期間や痛みの軽減が期待できます。
クリック(▶)すると治療の流れが開きます。

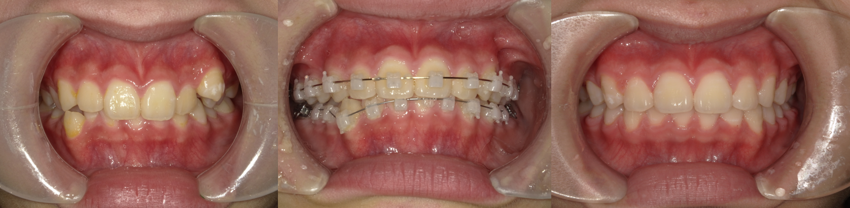
対象:中学生以降
基本的に、成長が落ち着いた中学生から大人が適応で、生えそろった永久歯の歯ならび・かみ合わせが良くなるように行う治療方法です。
当院では、治療期間の短縮、痛みの軽減、可能な限りの抜歯の回避を目指して、セルフライゲーションブラケットを、開院当初より、すべてのマルチブラケット装置を適用している患者さんに使用しています。
治療期間は2年程度、月に1回強の診察、治療の難易度によって異なります。(第一期治療を治療を行うことにより、抜歯の可能性の低下、治療期間や痛みの軽減が期待できます。)
審美性に配慮した矯正装置による治療、治療が困難ケースでは矯正用アンカースクリューを使用した治療や手術を伴う治療(顎変形症)なども行っています。
欠点は咬合痛、口内炎、歯肉退縮、歯根吸収、顎関節症状、う蝕(歯磨きが必要です)等のリスクがあることです。
治療終了後、後戻りを防ぐため保定装置の使用が必要です。
保定装置には取り外しできるものや審美性に配慮した装置があります。
保定装置開始後2年くらいが後戻りのリスクが高いため、年に数回の診察をします。
その後も経年変化も含め変化が考えられますので、変化を防ぐためにはその後も保定装置使用をしてもらいます。
クリック(▶)すると治療の流れが開きます。

対象:保険適応疾患の方
保険適応の矯正治療です。
顎変形症が最も多い疾患です。
詳しくは、下にあります「よくあるお問い合わせ」 Q矯正治療に保険はききますか? をご覧ください。
検査結果を元に、今後の治療内容について、詳しくご説明します。診断は大体30分程度かかります。
月に1回程度の診察が多く、治療期間は治療内容によりますが2年前後がよくある治療期間です。
診察の際は、装置の調整を院長が行い、機械による歯磨き(PMTC)を歯科衛生士が基本的に毎回行います。
診察内容によりますが、30分~60分程度の時間がかかります。
治療終了前には検査を行います。(基本検査料は再度かかりません。)
その後診断を行い、治療終了となります。
プレ矯正、第一期治療の場合は年に1~2回程度受診となる成長観察期間に入ります。
成長観察期間終了後、お困りのとことがなければ当院での管理は終了となります。
お困りのところがあれば、第二期治療で仕上げの治療を行います。
大人の矯正治療、第二期治療の場合は年に2~4回2年間程度の受診となる保定管理期間に入ります。
保定観察期間終了後、検査を行います。(基本検査料は再度かかりません。)
その後診断を行い、治療終了となります。
ただ保定装置は使用継続していただきます。
歯ならび、かみ合わせが悪いと身体的、精神的に様々な影響が出てくる場合があります。
主に「むし歯、歯周病、顎」の問題、「食べる、話す、呼吸」の問題、「見た目」に伴う精神的な影響の問題等が考えられます。
下記のような歯ならび、かみ合わせは、治療が必要と考えられます。
・下あごの前歯が上あごの前歯より前にある(下顎前突)
・極端に上あごの歯が前に出ている(上顎前突)
・下あごの前歯が、上あごの前歯に完全に隠れて見えない(過蓋咬合)
・上あごの前歯と下あごの前歯がぶつからない(開咬)
・右と左のかみ合わせが異なる(交叉咬合)
・凸凹がある(叢生)
・極端に隙間がある(空隙歯列)
・ねじれて生えてきた(捻転歯)
・歯が生えてこれない(埋伏歯)
(主に宮城県を例にした説明となります。)
学校歯科健診では、「顎関節」、「歯ならび・かみ合わせ」、「歯の汚れ」、「歯肉の腫れ」、「むし歯」等のチェック欄があり、多くは0、1,2の3段階でチェックが入ります。
「歯ならび・かみ合わせ」では、「0:異常なし」、「1:要観察」、「2:要精検」の3つに分かれます。
各項目それぞれについてご説明します。
(学校により記載方法は異なりますが、それぞれ3段階で読み替えてください。)
「2:要精検」
「かなり重度な不正咬合があって矯正治療を要する。本人・保護者から矯正治療の相談があり、専門的な診断が必要。」としています。
・下顎前突:2歯以上(永久歯)の反対咬合
(いわゆる受け口))
・上顎前突:オーバージェット7~8mm以上
(横から見て、下の前歯より上の前歯が大きく前に出ている)
・開咬:上下切歯(前歯)間に6㎜以上空隙
(奥歯が咬んでも、前歯が咬まない)
・叢生:歯冠幅径の1/4以上が重なっている
(いわゆるデコボコ)
・正中離開:上顎中切歯間に6mm以上の空隙
(上の真ん中の前歯の間の大きな隙間)
他にもありますが、以上が代表的な「2:要精検」の症状となっています。
一部例外は考えられますが、まず矯正治療の適応だろうと思われる重度の症状が並んでいます。
このチェックが入った際には、一度矯正歯科専門医院での相談をお勧めします。
「1:要観察」
こちらは、「軽度な不正咬合があって、定期的な観察が必要」としています。
・前歯が反対咬合ではあるが、永久歯交換まで経過観察。
(反対咬合だが、まだ前歯が乳歯のため経過観察)
・前歯が舌側転位しているが経過観察。
(前歯が後ろから生えてきているが経過観察)
・上顎犬歯の萌出余地不足が心配されるが経過観察。
(いわゆる八重歯になりそうだが経過観察)
以上が代表的な「1:要観察」の症状となっています。
不正咬合でいうと、軽度から中等度の症状と考えられます。
この「1:要観察」が一番判断の難しいところかと思います。
「要観察の場合は治療が必要ないのか?」
「定期的な観察はどうするのか?」
上記2つが問題となってくると思います。
「要観察の場合は治療が必要ないのか?」
(治療時期はまだ先になる可能性も考えられますが)矯正治療の適応となる可能性が高い状況だと思います。
ですので、一度矯正歯科専門医院、もしくは矯正歯科専門医院と連携している歯科医院、で相談した方が良いかと思います。
「定期的な観察はどうするのか?」
むし歯・歯肉炎等の定期管理をかかりつけ歯科医院で行い、年に1~2回程度矯正歯科専門医院でチェックしてもらうのが理想的かと思います。
矯正歯科専門医院を受診しない場合でも、歯ならび・かみ合わせに問題がある場合は、むし歯・歯肉炎等のリスクが高いことが多いですので、かかりつけ歯科医院での定期受診をおすすめします。
「0:異常なし」
文字通り「異常なし」です。
ただ学校歯科健診にはやはり限界があります。ですので、「異常なし」でも矯正治療の適応となることがあります。
気になるところがありましたら、矯正歯科専門医院、もしくは、かかりつけ歯科医院で相談してみて下さい。
以上、項目の説明となります。
最後に、学校健診での指摘は必要なことですが、小さい頃から定期的に歯科医院にて診てもらうことの方が大事かと思います。
予防可能であればできた方がいいですし、早期に治療した方が良いことも多いです。
歯ならび・かみ合わせに関して言えば、矯正歯科専門医院、もしくは矯正歯科専門医院と連携している歯科医院、での定期受診が良いと思います。
また、学校の歯科健診で歯ならび・かみ合わせを指摘され矯正歯科専門医院を受診する場合、保険診療の適応の場合がありますので、指摘された場合は歯科健診の結果を持参してください。
大人の歯(以降、永久歯)が生える時期は、個人差が大きいですので、問題がない場合も多いです。
永久歯の生え始め(多くは下の前歯)だけで言いますと、5歳くらいから生え始める子もいますし、小学校に入ってから生え始める子もいますが、多くは問題ありません。
ただ、反対側の永久歯が生えてきてから大分経つのに、もう反対側の永久歯が生えてこない場合や、同い年の大勢よりも2,3年以上遅れる場合には注意が必要です。
治療が必要となる可能性がある、主だった原因を以下に列挙します。
① 永久歯が生えてくる方向に問題がある場合ー埋伏歯
② 永久歯が足りない場合ー先天欠如歯
③ 永久歯が生えてくる隙間がない場合ー永久歯の萌出スペース不足
④ 永久歯が生えてくるのに邪魔なものがある場合ーのう胞など
①の埋伏歯は、上顎の犬歯(真中から3番目の歯)に発生することが多く、また問題が起こることも多いです。
上顎犬歯が骨の中で近くの他の永久歯の歯根にぶつかって、歯根を損傷(吸収)する可能性がある場合が要注意で、その場合は、特に治療が必要です。
治療方法としては、骨の中にまだ埋まっている犬歯の周りの骨を多少削除して正常に生えてくるように促す「開窓処置」、装置を装着して犬歯を正常な場所へと引っ張り出す「牽引処置」が良く行われます。
②の先天欠如歯は、すべての部位に認められますが、下顎の前歯に発生することが多いです。
その時点で咬合などに問題がない場合は、永久歯が生えそろうまで様子をみて、状況に応じて、矯正治療や補綴治療(ブリッジ、インプラントなど)を考えます。
6本以上先天欠如歯がある場合は、部分性無歯症と考えられますので、矯正治療を行う場合は保険診療の適応となります。
③の永久歯の萌出スペース不足の場合、多くは遅れて生えてきます。ただ、後ろや前から生えてくるため、凸凹(叢生)が発生します。永久歯の萌出スペース不足の場合、当院では在宅時のみ使用する機能的矯正装置を用い、早めに永久歯が生えてくるスペースを作っていきます。
④ののう胞などがあって歯が生えてこれない場合は、早めの摘出処置が必要となります。
ただ、摘出後には、(他に問題がなければ)普通に生えてくることが多いです。
その他には、歯自体の形態に問題があり生えてこない場合、乳歯もしくは永久歯が骨と癒着している場合、歯肉や骨が過度に厚い場合などが考えられます。
一番早い時期ですと4歳くらいです。乳歯でのかみ合わせがほぼ確立され、多くのお子さんが装置をお口に入れられるようになるからです。
次の時期が永久歯が生え始める時期、特に下の前歯が4本そろい、上の真ん中の前歯が生えてきた時期、多くの場合小学校1,2年生の時期です。上下の前歯が生えてくることで上下のかみ合わせや永久歯が生えるすき間があるかないかがはっきりする時期だからです。
最後の時期が中学生以降で、かみ合わせや成長の早い遅いにより推奨年齢は異なりますが、本人が気になり始めた時期にまず矯正相談を受診されるのがいいかと思います。
時期や治療方法により異なりますが、当院の場合は、幼児期(在宅時のみ装着する機能的矯正装置使用)で1~2年、学童期(在宅時のみ装着する機能的矯正装置使用)で2~3年、中学生から大人(セルフライゲーションブラケットを使用したマルチブラケット装置が主、審美性に優れた装置も用意、基本終日装着)で2年程度ということが多いです。また、治療中の通院間隔は、大体月に1回が多いです。治療後には成長観察、保定管理(後戻りしないようにする保定装置使用期間)で年に数回診察します。
また、早く治療を終了させるためには、定期的な通院が必須です。
キャンセル等で通院間隔が長くなればなるほど、治療が予定通り進まないため、治療期間が延びていきます。
当院では、幼児期、学童期(中学生も含まれる場合あり)は、成長がありますので、成長を利用した「機能的矯正装置」を使用して治療することが多いです。
こどもは、歯の生えている部分のあごの大きさや形、生えてきていない歯の生え方、口のまわりの筋肉の発達などをまだ変化させることができますので、歯ならび、かみ合わせの原因となる部分を治療することができます。
「機能的矯正装置」は、上記のようなコントロールができる装置です。
「機能的矯正装置」は、在宅時のみの使用で効果を発揮することができます。
学校等にもしていかないことから、管理がしやすく、また取り外しができるため、口の中もきれいにできます。
また、急に歯を動かすわけではないので痛みも少なく、装置の付け外しも簡単なので、こどもさんは問題なく受け入れてくれると思います。
もちろん欠点もあり、成長に合わせて治し、また在宅時のみの使用のため大体2~3年の治療期間を要し、また大人の治療とは異なり、まだ成長・歯の生えがあるため、その後の変化や限界もあります。
しかし、原因を治すことができ、大まかな治療がこどもが気になってくる前に治せるのは利点となると思います。
また、その後に第二期治療として中学生以降に「マルチブラケット装置」で治療することがありますが、「機能的矯正装置」で治療を行っている場合は、一度ある程度治していますので、治療は簡単になり、治療期間は短くなる傾向にあり、また抜歯の可能性も下がり、痛み等の負担も少なくなります。
セルフライゲーションブラケットとは、マルチブラケット装置で使用するブラケットの種類で、ブラケット(歯に接着する金具)の中でワイヤー(針金)を押さえこまないようにすることで、動かす歯に対して余計な摩擦力を伝えずに弱い力で歯を動かすことができるブラケットの総称です。
この装置の利点は、弱い力で素早く歯を動かすことができることから、治療期間を短縮、痛みの軽減、また可能なかぎりの抜歯の回避を期待できます。
当院では開院当初より、セルフライゲーションブラケットを使用しています。
矯正歯科治療は基本的には公的健康保険適用外の自費(自由)診療です。ただ一部に保険診療が適用となる疾患があります。
(保険会社や共済等での医療保険に関しては、また異なりますので、保険会社等にお問い合わせ下さい。)
また、保険診療が適用となる矯正治療は、認可を受けた一部の矯正歯科専門医院や大学病院等でのみ治療が可能です。
当院は、認可を受けた矯正歯科医院の一つです。
保険診療の場合は、子ども医療費助成、高額医療、更生医療等の対象となる可能性が考えられます。
対象疾患は以下の通りです。
①「別に厚生労働大臣が定める疾患」に起因した咬合異常に対する矯正歯科治療
②前歯及び小臼歯の永久歯のうち3歯以上の萌出不全に起因した咬合異常(埋伏歯開窓術を必要とするものに限る。)に対する矯正歯科治療
③顎変形症(顎離断等の手術を必要とするものに限る)の手術前・後の矯正歯科治療
別に厚生労働大臣が定める疾患
唇顎口蓋裂
ゴールデンハー症候群(鰓弓異常症を含む。)
鎖骨頭蓋骨異形成
トリーチャ・コリンズ症候群
ピエール・ロバン症候群
ダウン症候群
ラッセル・シルバー症候群
ターナー症候群
ベックウィズ・ウイーデマン症候群
顔面半側萎縮症
先天性ミオパチー
筋ジストロフィー
脊髄性筋委縮症
顔面半側肥大症
エリス・ヴァンクレベルド症候群
軟骨形成不全症
外胚葉異形成症
神経線維腫症
基底細胞母斑症候群
ヌーナン症候群
マルファン症候群
プラダー・ウィリー症候群
顔面裂(横顔裂、斜顔裂及び正中顔裂を含む。)
大理石骨病
色素失調症
口腔・顔面・指趾症候群
メビウス症候群
歌舞伎症候群
クリッペル・トレノネー・ウェーバー症候群
ウイリアムズ症候群
ビンダー症候群
スティックラー症候群
小舌症
頭蓋骨癒合症(クルーゾン症候群及び尖頭合指症を含む。)
骨形成不全症
フリーマン・シェルドン症候群
ルビンスタイン・ティビ症候群
染色体欠失症候群
ラーセン症候群
濃化異骨症
6歯以上の先天性部分無歯症
CHARGE症候群
マーシャル症候群
成長ホルモン分泌不全性低身長症
ポリエックス症候群(XXX症候群、XXXX症候群及びXXXXX症候群を含む。)
リング18症候群
リンパ管腫
全前脳胞症
クラインフェルター症候群
偽性低アルドステロン症
ソトス症候群
グリコサミノグリカン代謝障害(ムコ多糖症)
線維性骨異形成症
スタージ・ウェーバ症候群
ケルビズム
偽性副甲状腺機能低下症
Ekman-Westborg-Julin症候群
常染色体重複症候群
巨大静脈奇形(頸部口腔咽頭びまん性病変)
毛髪・鼻・指節症候群(Tricho Rhino Phalangeal症候群)
クリッペル・ファイル症候群(先天性頸椎癒合症)
アラジール症候群
高IgE症候群
エーラス・ダンロス症候群
ガードナー症候群(家族性大腸ポリポージス)
その他顎・口腔の先天異常
矯正治療途中に遠くに転居(転勤)になられるケースは、当院でも年に何人かいらっしゃいます。
まず、ご説明しておきたいのが、矯正治療は数年にわたり治療を行う場合が多いため、転居(転勤)がすぐに考えられる場合は、緊急性がある場合を除き、転居の後に治療を開始した方が良い場合が多いということです。
また、進学等で時期が決まった転居の可能性が高い場合は、それを見越した治療開始時期を考える必要があると思います。
(高校生で治療を希望される場合で、進学による転居の可能性が高い場合は、高1の終わりまでには受診されることをお勧めします。)
ただ、いわゆる転勤族の方など、転居(転勤)の時期がわからない方はいらっしゃいます。
実際に治療途中に転居(転勤)になった場合、当院での対応として2つの選択肢が考えられます。
A そのまま当院で治療を続ける。
B 転居先の近くの医院で治療を再開する。
それぞれの利点、欠点、実際の流れなどについて、以下に記載します。
A そのまま当院で治療を続ける。
利点
・同じ治療が確実に継続できる。
・治療費用が変わらない。
欠点
・通院が大変な場合がある。
大学進学で転居された場合や治療の終わりが近い場合は、多少通院間隔を延ばして、通院を継続される方が多いです。
B 転居先の近くの医院で治療を再開する
利点
・通院がしやすい。
欠点
・治療方針、治療費用の変更が考えられる。
※この場合の流れ
1 当院にて、これまでの治療の流れや治療費用等を記載した報告書を作成します。
2 治療費用は、治療段階等に合わせ、精算を行い、次の医院での治療費用に当てていただきます。
(矯正治療費用は、各医院や地域、治療方針により異なるため、精算額と次の医院での治療費用は異なることが考えられます。また、保険診療の場合は当てはまりません。)
3 次の医院は、直接ご紹介する場合とお渡しする近くの矯正専門歯科医院のリストから選択してもらう場合があります。
4 次の医院の先生に報告書を見てもらい、今後について相談してもらいます。
全国を転々と転勤(転居)される方で、選択される方が多いです。
※当院に通院中の患者さんで転居が決まられた方、また転居先での治療を当院でとお考えの方は、当院へ直接ご相談ください。
中学生以降に行う治療(マルチブラケット装置やマウスピース型矯正装置)は、咬合痛、口内炎、歯根吸収、歯肉退縮、顎関節症状、う蝕、歯周疾患等があります。永久歯の抜歯や手術(顎変形症の場合)を行う可能性があるのもこの時期の治療です。
幼児期、学童期で行う機能的矯正装置による治療は、在宅時のみの使用であることもあり上記に比べてあまりありませんが、口内炎、歯の生え変わりによる痛み、装置装着中のしゃべりづらさ等があります。
院長 水戸智憲
主な経歴
東北大学歯学部 卒業
東北大学大学院歯学研究科(歯科矯正学専攻)卒業
東北大学歯学部附属病院(矯正歯科、顎口腔機能治療部)勤務
国立成育医療センター(東京都世田谷区)第二専門診療部歯科勤務
仙台こども矯正歯科開院(2009年)
主な資格、役職
歯学博士
日本矯正歯科学会 認定医
仙台市立長町南小学校 歯科校医
主な所属学会等
日本矯正歯科学会
日本口蓋裂学会
日本小児歯科学会
日本学校歯科医会
日本歯科医師会
宮城県歯科医師会
仙台歯科医師会
|
治療費用(消費税10%込み) |
|
| 矯正相談料 | 1,100円 |
|
自費診療となる矯正相談のための費用です。 |
|
| プレ矯正検査料 | 22,000円 |
|
プレ矯正治療に必要な検査を行うための費用です。 |
|
| 基本検査料 | 55,000円 |
| 第一期治療および大人の治療に必要な検査を行う費用です。(第二期治療開始時にはかかりません。) | |
| 矯正診断料 | 5,500円 |
| 検査後に後日行う矯正診断のための費用です。 | |
|
プレ矯正 |
|
| 基本施術料 | 110,000円(99,000円) |
|
プレ矯正治療を行うための費用です。 |
|
| 診察料 | 5,500円 |
|
装置の調整を伴う毎月の診察のための費用です。 |
|
| 成長観察料 | 3,300円 |
|
プレ矯正治療後、成長に伴う変化を診ていく際にかかる費用です。 |
|
|
第一期治療 |
|
| 基本施術料 | 435,600円(396,000円) |
|
第一期治療を行うための費用です。 |
|
| 診察料 | 5,500円 |
|
装置の調整を伴う毎月の診察のための費用です。 |
|
| 成長観察料 | 3,300円 |
|
第一期治療後、成長に伴う変化を診ていく際にかかる費用です。 |
|
|
第二期治療 |
|
| 基本施術料(軽度) | 348,700円(313,800円) |
| 基本施術料(重度) | 392,700円(357,800円) |
|
第二期治療を行うための費用です。 |
|
| 上のみ審美装置 | +44,000円 |
| 上下ともに審美装置 | +88,000円 |
|
当院ではすべての方に上の前歯には白めの装置、全体には基本的にセルフライゲーションブラケットを使用しています。 |
|
| 診察料 | 6,600円 |
|
装置の調整を伴う毎月の診察のための費用です。 |
|
|
大人の矯正治療 |
|
| 基本施術料(軽度) | 726,000円(660,000円) |
| 基本施術料(重度) | 770,000円(700,000円) |
|
中学生から大人で行う矯正治療を行うための費用です。 |
|
| 上のみ審美装置 | +44,000円 |
| 上下ともに審美装置 | +88,000円 |
|
当院ではすべての方に上の前歯には白めの装置、全体には基本的にセルフライゲーションブラケットを使用しています。 |
|
| 診察料 | 6,600円 |
|
装置の調整を伴う毎月の診察のための費用です。 |
|
| 保定後の診察料 | 4,400円 |
|
大人の治療や第二期治療を行った後、保定装置使用中の診察のための費用です。 |
|
|
ご家族で2人目以降治療される方は、家族割引があります。()内の費用です。 |
|
基本施術料が一番高額となりますので、様々な支払い方法があります。現金一括払い以外には、クレジットカード一括払い、金利負担のない当院独自の分割払いをすることが可能です。(分割払いをされる場合、初回支払額は治療費用により1/2~1/3程度、支払い期限は1年程度でお願いしています。)その他の費用は受付での現金支払いです。また、保険診療の費用、歯ブラシ等の費用もすべて受付での現金支払いです。
おおまかに言うと、世帯全体で年間(1月~12月)10万円を超える医療費を支払った場合、既に支払った税金の一部が戻ってくる仕組みです。
中高生くらいまでの矯正治療は、かみ合わせの治療と考えられるため、基本的に医療費控除の対象と考えられると思います。
大人の矯正治療に関しましては、審美のためだけに行われた治療は適用外となりますので、かみ合わせの治療か見た目のための治療かで意見が分かれるようです。
また、治療のための通院費も医療費控除の対象になります。
ただ、通院費として認められるのは、バス・電車・タクシーなど交通機関などを利用した場合のみです。
*当院で発行された領収書は再発行できませんので、大事に保管して下さい。
| 診療時間 |
| 月曜・火曜・金曜 |
| 10:00~12:30 15:00~19:00 |
| 水曜 |
| 15:00~20:00 |
| 土曜 |
| 9:00~12:30 15:00~18:30 |
| 日曜・祝日(月に1回 休日矯正相談日) |
| 9:00~12:00 |
| 休診日 |
| 木曜・日曜・祝日 |
|
完全予約制ですので、必ずご予約の上ご来院下さい。 最終受付時間は、診療時間終了1時間前です。 |
当院は診療情報を取得・活用することにより、質の高い医療の提供に努めています。正確な情報を取得・活用するため、マイナ保険証の利用にご協力をお願いします。(日本歯科医師会HP内の当院情報へリンク)
仙台こども矯正歯科(以下、当院)では、下記方針に基づき個人情報を適切に取り扱います。
個人情報の収集について
当院では、患者さんの個人情報を収集、利用する場合、当院の運営に関わる範囲で行います。
個人情報の利用及び提供について
患者さんの個人情報は、以下の場合を除き、本来の利用目的の範囲を超えて使用しません。
● 情報の利用、提供について患者さんの同意がある場合。
● 法令等により、提供を要求された場合
● 医療サービスの質を向上させるために、個人識別が不可能な状態で利用する場合
個人情報の管理、保護について
当院が収集した患者さんの個人情報は、適正な管理を行い、紛失、改ざん、漏洩などの防止に努めます。
個人情報の訂正、削除について
患者さんご本人が、訂正、削除を求められた場合には、すみやかに対処いたします。
個人情報保護方針の改定について
以上の方針について随時見直しを行い、改善していきます。
転載について
当サイトの文章、写真、画像等すべての内容について無断転載することを禁止いたします。